EVO视讯(中国游)有限公司-官网

您当前的位置: 产品中心> 数字病理扫描
数字病理扫描
3D Histech数字切片扫描分析系统Digital Pathology Syestem . 全自动切片扫描系统为病理诊断、病理教学创建一个广阔的平台,由于玻片可在1-3min内快速扫描成一张超高清...
+ 查看详情
Pannoramic DESK ( 产品型号 ) 单片扫描 玻片尺寸: 26*76mm, 厚度0.9-1.2mm 扫描速度:20倍标准模式下,~1 cm2/min 扫描分辨率:0.23μm...
+ 查看详情
Pannoramic MIDI( 产品型号 ) 单次装载量: 12张玻片,无人值守批量扫描 玻片尺寸: 26*76mm, 厚度0.9-1.2mm 扫描速度:20倍标准模式下,~1 cm2/min 扫描...
+ 查看详情
Pannoramic SCAN( 产品型号 ) 单次装载量: 150张玻片,无人值守批量扫描 玻片尺寸: 26*76mm, 厚度0.9-1.2mm 扫描速度:20倍标准模式下,~1 cm2/min 扫描分辨率...
+ 查看详情
Pannoramic 250 FLASH( 产品型号 ) 单次装载量: 250张玻片,无人值守批量扫描 玻片尺寸: 26*76mm, 厚度0.9-1.2mm 扫描速度:20倍标准模式下,~1 cm2/min ...
+ 查看详情
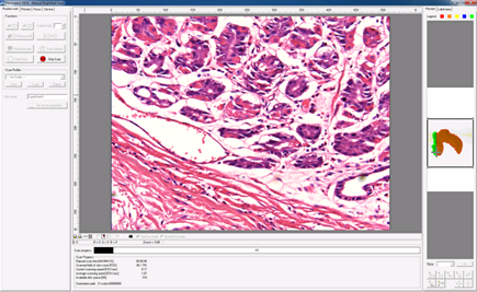
软件 Pannoramic Scanner 数字切片扫描软件 扫描预览功能,包括切片的编号,以及切片扫描的区域位置。 可以对图像进行对比度、亮度和Gamma校正,便于分析。 Z-Stack聚焦功能 Exten...
+ 查看详情
 
  • 扫码获取相关资讯
  • 扫码关注公众号

EVO视讯(中国游)有限公司-官网

办公地址: 北京市朝阳区立水桥北里2号塞纳维拉2509

邮编:100012

电话:,

邮箱:sales@00ae.com

版权所有©EVO视讯(中国游)有限公司-官网